e-Learning Cytology

219 contents...

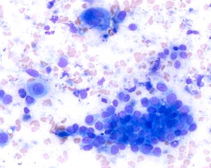
Mast cell tumor

눈과 관련 구조 / 종양(원형세포) / 개
Patient 30kg/삽살개/숫컷 / 12년령 2016016692_01 Sampling  1) Site: left upper eye lid 2) Methods: FNA

Cutaneous histiocytoma

피부/피하 / 종양(원형세포) / 개
2012012447_01 K9 / Cocker Spaniel / NM / 9.4kg / 8Y CC: 우측 귓바퀴 nodule로 내원하심 (2-3개월 전부터 서서히 커짐) 소양감 있고, 각질 존재. 냄새 남. - small, solitary, well-circumscribed, dome-shaped, hairless mass on the right ear pinna

화농육아종성염증(pyogranulomatous inflammation)

피부/피하 / 염증(비감염성) / 개
Patient information mixed / 중성화 암컷 / 10.25kg / 12살 챠트:2012011716_01 Sampling site: Submandibular mass

Squamous cell carcinoma (SCC)

피부/피하 / 종양(상피세포) / 개
말티즈 / 암컷 / 4년령 / 3.98kg - 등쪽, 둔부, 두개피부쪽에 다양한 크기의 mass가 촉진됨(직경1-5cm). - 병변의 양상은 irregular, regular한 margin을 가지며 견고하고 피내-피하의 유동성이 있거나 혹은 없는 mass임. - - 일부는 골에 붙어있는것으로 추정됨. - 체표림프절의 종대는 확인되지 않음. Patient info: 2010009453_01

파행이 있는 젖소의 혈액도말

혈액 / 염증(감염성) / 소
나이: 58개월령 2일전에 갑자기 파행증상을 보임.. 거의 못일어남  칼슘보러스 보비칼(Active Ingredients per bolus: Calcium chloride - 579.1 mg/g, Calcium sulfate - 231.6 mg/g)을 전날 저녁에 먹인 상태임 - 피부 결절이 관찰된다고 축주가 얘기했으나 소량 몇 개만 보임 #우성 1

Panniculitis

피부/피하 / 염증(비감염성) / 개
슈나우저 / 수컷 / 9.1kg / 8년3개월령 - 등쪽 덩어리 - 등쪽의 mass는 약 2년 전 처음 발견. - 크기 변화는 심하지 않음. - 현재 크기는 2 x 2 cm 정도 - 앞가슴쪽의 mass는 내원일 발견 하였으며 1 x 1 cm 정도의 크기. - 피하에 위치하는 것으로 촉진됨. - 하악 좌측 canine 잇몸이 부어오르는 것을 확인함. - 약 1개월 전 처음 확인. - 크기는 점점 커지고 있음 - 파동감은 없고 단단하게 촉진됨 시료채취 - 세 부위의 mass 모두 FNA 실시함 - 잇몸의 mass는 단단하여 needle이 mass 내로 잘 들어가지 않았음 Patien info: 2012012222_yulma_back_fna_wg_x1000

mammary adenoma

유선/생식기 / 종양(상피세포) / 개
Patient info. toto Sample: mamary mass

fecal cytology

소화기 / 미생물 / 페렛
ferret

Melanoma

피부/피하 / 종양(상피세포) / 고양이
고양이, DSH, male, 10 ys 2013013843_01 Signalment: - 약 2주 전, 오른쪽 하악 아래 덩어리 만져짐 - X-ray소견상 폐전이 의심됨 - 현재 식욕, 음수, 배변, 배뇨 양호 - 약간의 호흡곤란과 활력 감소 소견 보임

prostatic cyst

샘조직 / 염증(감염성) / 개
k9/ pekingese / 5.56kg/ 12yr/ 중성화 수컷 - 오줌으로 지속적으로 끈적한 농성 물질이 배출되며, 혈액이 섞여 나옴 -> prostate에서 배출되는 농성 물질일 가능성이 높아 prostatic cyst 천자 실시함. -큰 cyst 두개에서 2-3ml 정도의 점성이 있는 액체를 천자 하였으며 , 작은 cyst한개에서 1 ml정도 천자하였음.

oral mass

소화기 / 종양(간엽성) / 개
1. Signalmanet: K9, 닥스훈트 / 중성화 암컷 / 14년령 2. History & CC: 평소 치아관리를 못해주셨으며 작년부터 치아가 빠지기 시작. 2개월 전부터 목주위 종괴 및 salivation 관찰됨. 림프종의심으로 지역병원에서 의뢰됨. 3. Physical examination : - BT 38.7, HR 192, RR 36, BP165, BCS 6 - Lymphadenopathies : Rt.submadibular LN 4.8 x 4.4 cm, Lt.submadibular LN 5.9 x 5.4 cm, Lt.scapular LN 0.7 x 0.5 cm, Rt.popliteal LN 0.5 x 0.5 cm, Lt.popliteal LN 0.5 x 0,5 cm submadibular LN에서 열감이 느껴짐 - Oral cavity : severe tartar, mass on Lt. palate oronasal fistula 4. Radiology : Lt & Rt submandibular lymphadenomegaly : osteolysis 및 pulmonary metastasis는 확인되지 않음. - oronasal fistula - nasal discharge 하악림프절에 대한 FNA 결과 patient info: 2015016107_01_oral_mass

Panniculitis

피부/피하 / 염증(비감염성) / 개
Yorkshire Terrier / 5y / 2.8kg / NM Meningoencephalitis 환자로 PDS 지속적 복용 중. 치료 시작 3개월에  acute onset Lt. scapular subcutaneous nodule 만져져서 FNA 시행. Patient info: 2014014687_01

Pleural effusion (modified trnsudate)

체강 내 유출액 / 기타 / 개
k9/ poodle/ 6.3kg/ 15yr / male

amelanotic melanoma

기타 / 종양(간엽성) / 개
2015015611_01 K9/Cocker Spaniel/F/9.48Kg/14Y 갑자기 1주 내에 mass가 커지기 시작하더니 입안까지 커짐. 신체검사상 왼쪽 상악, 목, 및 오른쪽 앞다리에 mass 확인됨.

Mesothelioma

체강 내 유출액 / 종양(상피세포) / 개
찬희, Maltese, Intact Female, 13년령, 2.62 Kg Signalment: 체온 (T:38.7), 맥박 (P:120), 호흡 (R:panting), 체중 (W:2.62) - BCS 3/9, Abdominal distention - Halitosis, tartar build up - tachypnea - small mass of 2th LT. mammary gland(0.2-0.3mm) - Heart murmur(Gallop sound on Rt. apical chest) - Pectus carinatum - Cough reflex(+) - OD,OS : nuclear sclerosis Sample: 복수(abdominal fluid) 2011011158_01

Hepatocellular carcinoma

간 / 종양(상피세포) / 개
2015015413_01 K9 / Shih Tzu / SF / 14Y / 3.56kg 1. History 및 신체검사 기침 및 활력저하로 외부병원에서 x-ray 촬영 시 복부mass 소견 보여 본원 내원.    2. 혈액검사 -CBC PCV 가 15.4% -Chemistry hypoalbuminemia, Increased ALT.ALP activity, BUN 3. X-ray -흉부 VHS 9.9, 기관은 거상되어 있으며 이는 복부팽만으로 흉부쪽이 압박되어 거상되었을 가능성이 가장큼 심장 base는 소실되어있고 LA는 slight하게 거상 되어 있음 -복부 간에 거대한 mass로 인하여 장분절이 전반적으로 caudal로 변위 되어 있음 serosa detail은 떨어져 있으며 우측 신장은 mass로 인하여 관찰되지 않음 4. 복부초음파 -간 간은 lumpy bumpy한 mass 내 다수의 cyst가 관찰됨, 혈류분포는 없으며 간기원으로 생각됨 간비대로 인하여 아래쪽 margin은 불분명함  -소량의 복수   5. Ascites -exudate로 TNC는 7,900 μL, cloudy, red 한 ascites로 복강내 출혈 추측.   

Uterine mass (Osteosarcoma, leiomyosarcoma)

유선/생식기 / 종양(간엽성) / 개
K9/ chihuahua/ 4.62kg/ 16yr/ female - 자궁 이상 및 배뇨곤란으로 내원, 초음파 리드 하에 FNA 실시

Blood smear of lymphoma follow up

혈액 / 기타 / 개
K9, Ruchi, lymphoma

Otitis externa with malassezia

눈과 관련 구조 / 미생물 / 개
암컷/8년령/ 2008005536_01_C_coba_F_8Y_otitis_externa_lt.media sampling site : ear canal

한우 송아지 설사

혈액 / 정상 / 소
한우 송아지 / 1개월령, 240604 10일 정도전에 설사증세로 자가치료를 함. (마보플록사신 & 메타캄)  3일 정도 주사처치후 설사가 멈추고 치료를 끝냄 7일정도 특별히 관찰을 못했지만 회복된 줄 알고 있다가 어제(6월25일) 보행을 힘들어 할 만큼 힘이 없어 자가진료로 수액처치를 했다고 함  6월26일 현재는 어제 보다는 상태가 다소 호전되었으나 여전히 식욕부진과 침울함을 보임  다.). 현재 설사는 없으나 오히려 백리에 가까운 색깔과 냄새가 좋지 않았으며, 둥글하게 뭉쳐진 두덩이 분변이 직장에서 만져짐.(소량의 혈변도 섞여있음) #우성2
There are more than 199 contents => Go Search!!