e-Learning Cytology

219 contents...

Uterine mass (Osteosarcoma, leiomyosarcoma)

유선/생식기 / 종양(간엽성) / 개
K9/ chihuahua/ 4.62kg/ 16yr/ female - 자궁 이상 및 배뇨곤란으로 내원, 초음파 리드 하에 FNA 실시

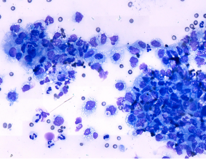
Mast cell tumor

눈과 관련 구조 / 종양(원형세포) / 개
Patient 30kg/삽살개/숫컷 / 12년령 2016016692_01 Sampling  1) Site: left upper eye lid 2) Methods: FNA

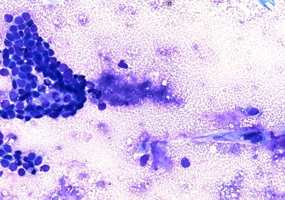
Mandibular mass(sialocele)

피부/피하 / 염증(비감염성) / 개
k9/ 2.54kg/ 16yr/ maltese/ male -목주변 mass 의심되어 진료의뢰됨 -이전부터 눈이 튀어 나오고 있다는 느낌은 받으셨다고 함 -1년전쯤 혀 밑에 작은 mass를 떼어내는 수술을 하셨다고 하심 -식욕 및 활력 감소는 없음 -왼쪽으로 고개가 돌아가 있음

Eye swab-cockatiel

눈과 관련 구조 / / 조류
2017017786_01-cockatiel-rupina-eye swab

Lipoma

피부/피하 / 종양(간엽성) / 개
Jack / Labrador Retriever / Intact Male, 9Y-11M, 38 kg CC: 우측 전완 근위부 외측에 12mm 피부종괴 2016016888-01

Skin mass & Elbow mass

피부/피하 / 종양(상피세포) / 개
Golden Retriever, 1살, 35kg, 중성화 수컷 경부 우측 2주전 백신 후 단단한 덩어리 발생 확인 경부 좌측 3주전 항생제(또는 소염제) 투약 후 단단한 덩어리 발생 확인 우측 견갑부 1주일전 열감있는 mass 발생 확인, 별다른 event 없음 이동식 케이지에서 잔다고 함, 최근 한달정도는 이불을 펴놓고 데리고 잤다고 함 평소 잘 때 특이한 자세, elbow를 바닥에 대고 기대어 잔다고 함 elbow 쪽에 저류된 액체는 수차례 제거하셨다고 함 Rt. 열감(+), 부종(-), ROM 정상, 통증호소없음, 염발음없음, capsulation되어 있는 것처럼 만져지나 관절과 분리되어 만져지지 않고 olecranon과 연결성 있음  FNA한 결과 뽑힌 액체에 혈액이 포함되지는 않음 Lt. Rt.와 동일하나 FNA한 결과 혈액성 액체 확인

한우 송아지 설사

혈액 / 정상 / 소
한우 송아지 / 1개월령, 240604 10일 정도전에 설사증세로 자가치료를 함. (마보플록사신 & 메타캄)  3일 정도 주사처치후 설사가 멈추고 치료를 끝냄 7일정도 특별히 관찰을 못했지만 회복된 줄 알고 있다가 어제(6월25일) 보행을 힘들어 할 만큼 힘이 없어 자가진료로 수액처치를 했다고 함  6월26일 현재는 어제 보다는 상태가 다소 호전되었으나 여전히 식욕부진과 침울함을 보임  다.). 현재 설사는 없으나 오히려 백리에 가까운 색깔과 냄새가 좋지 않았으며, 둥글하게 뭉쳐진 두덩이 분변이 직장에서 만져짐.(소량의 혈변도 섞여있음) #우성2

급성유방염 젖소의 혈액상

혈액 / 염증(감염성) / 소
- 나이: 64개월 - 3일전 부터 급성 유방염으로 식욕부진, 침울, 산유량 감소 및 감염분방에서 농성물질 보임 - 3일간 마보플록사신, 케토프로펜, 덱사메타손 등 사용 - 금일(6월13일)에도 25% 포도당 및 CDP(종합칼슘제)를 자가진료로 정맥 주사한 상태임 - 신체검사 시 38.5℃, 빈맥(132회/분) 및 빈호흡을 보임 #유구1

Hepatic steatosis

간 / 기타 / 개
2014014054_01 K9 / Shi-tzu / NM / 11Y / 5.54kg 1. 신체검사 - Icterus - 7% dehydration 2. 혈액검사 - Leukocytosis (neutrophilia) - Hypoalbuminemia - AST, ALT, GGT, ALP 모두 상승 - bile acid 200이상 측정 불가 - Hyperbilirubinemia - Hypercholesterolemia 3. X-ray - Microcardia -> dehydration - Renal calculi 4. 복부초음파 - Liver : 전반적으로 다 heterogenous하며 hyperechoic하게 관찰됨. Hypoechic한 nodules도 다수 관찰됨. 담낭벽은 비후되어 있으며 확장되어 있음. EHBO의 근거는 관찰되지 않음 -> 간수치 상승 및 황달의 원인은 간전성, 간후성보다는 간 자체의 원인일 가능성 큼 - Kidney : calculi, small kidney

ascite

체강 내 유출액 / 염증(감염성) / 개
Patient info: 20140151215_01 // 정확하게 확인되지는 않음.

Hepatocellular carcinoma

간 / 종양(상피세포) / 개
2015015413_01 K9 / Shih Tzu / SF / 14Y / 3.56kg 1. History 및 신체검사 기침 및 활력저하로 외부병원에서 x-ray 촬영 시 복부mass 소견 보여 본원 내원.    2. 혈액검사 -CBC PCV 가 15.4% -Chemistry hypoalbuminemia, Increased ALT.ALP activity, BUN 3. X-ray -흉부 VHS 9.9, 기관은 거상되어 있으며 이는 복부팽만으로 흉부쪽이 압박되어 거상되었을 가능성이 가장큼 심장 base는 소실되어있고 LA는 slight하게 거상 되어 있음 -복부 간에 거대한 mass로 인하여 장분절이 전반적으로 caudal로 변위 되어 있음 serosa detail은 떨어져 있으며 우측 신장은 mass로 인하여 관찰되지 않음 4. 복부초음파 -간 간은 lumpy bumpy한 mass 내 다수의 cyst가 관찰됨, 혈류분포는 없으며 간기원으로 생각됨 간비대로 인하여 아래쪽 margin은 불분명함  -소량의 복수   5. Ascites -exudate로 TNC는 7,900 μL, cloudy, red 한 ascites로 복강내 출혈 추측.   

Babesiosis

혈액 / 미생물 / 개
2015016167_01_bokdong_babesia

갑상샘종

내분비 / 종양(상피세포) / 개
환자명: Bokdol sampling site: Rt cervical mass Methods: FNA 2014015227_02

carpal_mass_2015015277_01

피부/피하 / 종양(간엽성) / 개
carpal_mass_2015015277_01

Abdominal mass

내분비 / 기타 / 개
Mixed breed / 12살/ 5.25kg/ 암컷 -자궁축농증,비장mass 의심되어진료 의뢰 -식욕 및 활력 양호했음 - 잘 때 통증은 없었으며 호흡수(SRR) 25회 이하로 확인되었음

lymphnode

림프조직 / / 개
K9/닥스훈트 / 중성화 암컷 / 14년령 1. History & CC: 평소 치아관리를 못해주셨으며 작년부터 치아가 빠지기 시작. 2개월 전부터 목주위 종괴 및 salivation 관찰됨. 림프종의심으로 지역병원에서 의뢰됨. 2. Physical examination : - BT 38.7, HR 192, RR 36, BP165, BCS 6 - Lymphadenopathies : Rt.submadibular LN 4.8 x 4.4 cm, Lt.submadibular LN 5.9 x 5.4 cm, Lt.scapular LN 0.7 x 0.5 cm, Rt.popliteal LN 0.5 x 0.5 cm, Lt.popliteal LN 0.5 x 0,5 cm submadibular LN에서 열감이 느껴짐 - Oral cavity : severe tartar, mass on Lt. palate oronasal fistula 3. Radiology : Lt & Rt submandibular lymphadenomegaly : osteolysis 및 pulmonary metastasis는 확인되지 않음. 4. 체표 Patient info: 2015016107_01 Virtual info:  yul_lymphnode_151005.1

mammary tumor

유선/생식기 / 종양(상피세포) / 개
Patient info. - 3.6kg / intactfemaile / Shih Tzu / - chartno. 2017017663_01 Sample - left 1st mamarygland

경결감있는 덩어리

샘조직 / 종양(상피세포) / 개
12y, Yorkshire Terrier , 중성화 암컷, 2.66kg

Melanoma

피부/피하 / 종양(상피세포) / 고양이
고양이, DSH, male, 10 ys 2013013843_01 Signalment: - 약 2주 전, 오른쪽 하악 아래 덩어리 만져짐 - X-ray소견상 폐전이 의심됨 - 현재 식욕, 음수, 배변, 배뇨 양호 - 약간의 호흡곤란과 활력 감소 소견 보임

Cutaneous histiocytoma

피부/피하 / 종양(원형세포) / 개
2012012447_01 K9 / Cocker Spaniel / NM / 9.4kg / 8Y CC: 우측 귓바퀴 nodule로 내원하심 (2-3개월 전부터 서서히 커짐) 소양감 있고, 각질 존재. 냄새 남. - small, solitary, well-circumscribed, dome-shaped, hairless mass on the right ear pinna
There are more than 199 contents => Go Search!!